なるべく削らず、歯を守る
- Q抜くしかないと言われた歯でも、本当に残せますか?
- Aすべての歯が残せるとは断言できません。
しかし、マイクロスコープ診査やCT診断により、肉眼では分からなかった「残せる可能性」が見つかるケースは多々あります。
抜歯を決断する前に、一度精密な診査を受けることを強くお勧めします。 - Q治療回数や期間はどのくらいかかりますか?
- A精密な保存治療は、通常の治療よりも一回あたりの時間を長く(45〜90分程度)いただく場合があります。
回数は内容によりますが、歯を長持ちさせるための「基礎工事」としてご理解いただければ幸いです。 - Q保険診療の範囲内でできますか?
- A基本的な虫歯治療や根管治療は保険適用ですが、MTAセメントや一部の外科的処置、特殊な矯正的挺出などは自由診療(自費)となる場合があります。
費用については、カウンセリング時に事前にお見積もりを提示いたします。
「この歯は抜くしかないと言われた」
「神経を取ると、歯が弱くなると聞いて不安だ」
「できるだけ自分の歯を削りたくない」
たけ歯科クリニックには、このような切実な想いを抱えた患者さまが数多くご相談にいらっしゃいます。
一度削ってしまった歯は、二度と元には戻りません。
一度抜いてしまった歯が、再び生えてくることもありません。
天然の歯は、どんなに精巧なインプラントや入れ歯よりも、遥かに優れた「臓器」です。
当院では、「Minimal Intervention(最小限の侵襲)」というコンセプトに基づき、最新のマイクロスコープや特殊な薬剤(MTA)、高度な外科的技術を駆使して、「なるべく削らず、神経を残し、歯を抜かない」治療に全力で取り組んでいます。
「削る部分を最小限に」:大切な歯の寿命を延ばすために
歯の寿命を左右する最大の要因は、実は「健康な歯質がどれだけ残っているか」です。
当院では、虫歯だけを的確に取り除き、健康な部分を1mmでも多く残すために、以下のツールと技術を徹底しています。
拡大鏡(ルーペ)とマイクロスコープ(歯科用顕微鏡)
肉眼では、虫歯と健康な歯の境界線を厳密に見極めることは困難です。
当院では、視野を数倍から20倍にまで拡大できる拡大鏡やマイクロスコープを使用します。
これにより、暗いお口の中でも細部まで「見える」状態で治療ができるため、健康な歯を誤って削りすぎるリスクを大幅に軽減できます。
う蝕(むし歯)検知液
感覚だけに頼らず、客観的な指標で虫歯を取り除きます。
虫歯に感染した部分だけを赤や青に染める「う蝕検知液」を使用することで、感染部位を確実に特定します。
染まった部分だけを慎重に除去し、染まらない健康な部分は一切削りません。
この徹底した工程が、再発防止と歯の保存に直結します。
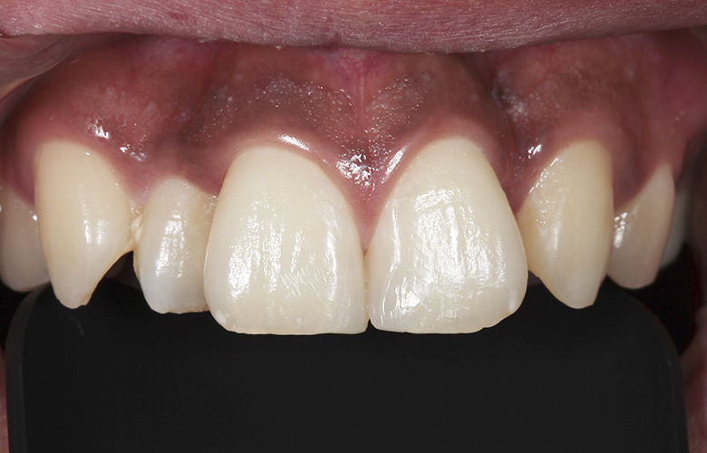
コンポジットレジン(CR)治療
従来、虫歯治療といえば「型取りをして銀歯を入れる」のが一般的でした。
しかし、銀歯を入れるためには、詰め物を固定するために健康な歯まで大きく削る必要がありました。
当院が推奨するコンポジットレジン(CR)治療は、虫歯を削った穴に直接高機能な樹脂を盛り付けて固める手法です。
歯との接着性に優れているため、複雑な形に削る必要がなく、削る量を最小限に抑えることができます。
ダイレクトボンディング(高度精密樹脂修復)
CR治療をさらに進化させた、より精密で審美性の高い治療が「ダイレクトボンディング」です。
単に穴を埋めるだけでなく、複数の色のレジンを何層にも塗り重ねる「レイヤリング技法」を用いることで、天然の歯のような透明感や色のグラデーション、複雑な凹凸までも再現します。
主にマイクロスコープ下で行われ、肉眼では見えないレベルでの適合(フィット感)を追求します。
CR治療とダイレクトボンディングの違い
患者さまから「どちらがいいですか?」と聞かれることが多いこの2つの治療。主な違いは以下の通りです。
審美性(見た目)
CRは単色で詰めることが多く、年数が経つと変色しやすい傾向があります。
ダイレクトボンディングは多色を重ねるため、隣の歯と見分けがつかないほど美しく、変色もしにくい高品質な材料を使用します。
精度と耐久性
CRは保険診療の範囲内で行われることが多く、手軽さがメリットです。
一方、ダイレクトボンディングは時間をかけ、マイクロスコープを使用してコンマ数ミリ単位の隙間もなく仕上げるため、二次虫歯(治療した場所の再発)のリスクを極限まで抑えることができます。
治療時間
ダイレクトボンディングは、歯の造形を精密に行うため、CR治療よりも一回あたりの診療時間を長くいただくのが一般的です。
「神経を抜かない」ための挑戦:歯髄温存治療(MTA)
「虫歯が深いので神経を取りますね」と言われたことはありませんか?
歯の神経(歯髄)には、歯に栄養を送る血管も含まれています。
神経を取ってしまうと歯は「枯れ木」のような状態になり、折れたり割れたりしやすくなってしまいます。
つまり、神経を守ることは、歯の寿命を数十年単位で延ばすことに他なりません。
MTAセメントによる「歯髄温存治療」
従来、神経に達してしまった深い虫歯は抜髄(神経を取る治療)が一般的でした。
しかし当院では、MTAセメントという優れた殺菌性と封鎖性、生体親和性を持つ特殊な薬剤を使用することで、神経を残せる可能性を追求しています。
マイクロスコープ下で慎重に虫歯を除去し、露出した神経をMTAで保護することで、歯の生命線を守り抜きます。
「歯を抜かない」ための高度な治療
「根元まで虫歯が進んでいる」「根の先に膿が溜まっている」といった理由で抜歯を宣告された歯でも、当院の精密技術であれば残せる可能性があります。
歯冠長延長術(クラウンレングスニング)
虫歯が歯ぐきのラインよりも深い場所まで進んでしまうと、そのままでは被せ物を作ることができず、通常は抜歯となります。
歯冠長延長術は、歯ぐきや骨の形をわずかに整えることで、隠れてしまった歯の健全な部分を露出させる外科処置です。
これにより、被せ物の「土台」をしっかり確保でき、抜歯を回避して歯を機能させることが可能になります。
矯正的挺出(エクストルージョン)
深く埋まってしまった歯を、矯正の力を使ってゆっくりと引っ張り出す方法です。
歯冠長延長術と同様、被せ物を作るための「高さ」を確保するために行います。
無理に削るのではなく、ご自身の歯の根を有効活用して「残せる状態」へと導きます。
歯根端切除術
通常の根管治療(根の掃除)では治りきらない、根の先の大きな膿の袋(根尖病変)がある場合に行います。
抜歯するのではなく、歯ぐき側から小さくアプローチして、感染している根の先だけを切り取り、逆方向から特殊な薬剤で封鎖します。
マイクロスコープ下で行う非常に精密な外科処置であり、歯を残すための「最後の砦」とも言える治療です。
ヘミセクション/トライセクション(分割抜歯)
奥歯のように根が複数ある歯において、全ての根がダメになったわけではなく、1本の根だけが割れたり腐食したりしている場合に行います。
悪くなった根だけを切り離して取り除き、健康な残りの根を活用して被せ物を作る方法です。
歯の全体を抜くのではなく、使える部分を最大限に残すという考え方です。
通院の負担を和らげる「痛みを感じさせない工夫」
「歯医者は痛いから苦手」という恐怖心が、早期受診を妨げ、結果として歯を失う原因になってしまうことがあります。
当院では、治療そのものはもちろん、麻酔の段階から痛みを感じさせない徹底した配慮を行っています。
表面麻酔の徹底
針を刺す場所の粘膜にあらかじめゼリー状の麻酔薬を塗り、感覚を麻痺させます。
極細針の使用
刺入時のチクッとした痛みを感じにくい、歯科界で最も細いクラスの針を採用しています。
「痛くないから、また行こうと思える」。
そんな環境づくりが、患者さまの大切な歯を守る継続的なケアにつながると考えています。
治療に伴う副作用・リスクについて
当院では、患者さまに誠実な情報提供を行うため、保存治療に伴うリスクについても事前にお伝えしております。
歯髄温存治療(MTA)
神経を保存する処置を行っても、術後に痛みや違和感が出た場合には、やむを得ず神経を取る処置に移行することがあります。
外科的保存処置(歯根端切除等)
術後に一時的な腫れや痛み、内出血が生じることがあります。
また、病変の大きさや骨の状態により、必ずしも良好な予後が得られない場合があります。
再治療の可能性
精密な治療を行っても、日々のセルフケアや定期検診を怠ると、再発のリスクが高まります。
よくあるご質問(FAQ)

